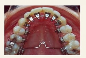
Orthodontics
Mal alignment of the teeth are the primary concern of people these days primarily because of the aesthetic look.
This treatment helps to align all the teeth in a proper position. This takes care of your functional as well as your aesthetic concerns.
It is performed using brackets and braces.
This treatment helps to align all the teeth in a proper position. This takes care of your functional as well as your aesthetic concerns.
It is performed using brackets and braces.
Time
Orthodontic treatment requires minimum of 8-10 months to align the teeth.
In some cases requiring only aligning of teeth with latest treatment modalities , duration can be shortened to 3-6 months.
In some cases requiring only aligning of teeth with latest treatment modalities , duration can be shortened to 3-6 months.
Cost
1.You have many varieties of brackets.
2.Like metal brackets, ceramic brackets, lingual brackets, invisalign, clearpath
3. Cost depends on the type of bracket and treatment
2.Like metal brackets, ceramic brackets, lingual brackets, invisalign, clearpath
3. Cost depends on the type of bracket and treatment
Metal

Ceramic

Lingual



Inman Aligners


FAQs
If you are young and your teeth are misaligned but in the perfect shape and colour, then braces or orthodontic treatment is the right path for you. However, if you are unhappy with the shape or colour or texture of your teeth then looking at cosmetic dentistry is a sensible option. Even in such cases, braces can be used for pre-aligning the teeth where required. Here; pre aligning with use of recent advances like Inman aligners can considerably shorten treatment time.The basic principle to follow here would be – ‘Treat young patients Idealistically and treat adult patients Realistically’.
Orthodontic treatment requires minimum of 8-10 months to align the teeth. In adult patients , where minor corrections for only front teeth are targeted, 6- 7 months should be adequate. With use of Inman Aligners the treatment span can be shortened to around 12-16 weeks.In the first visit the braces will be placed ,followed by monthly recalls to monitor and guide the progress.
You have many varieties of brackets. The cost ranges from 15000 to 200000 INR.
Metal – Rs. 35,000
Ceramic – Rs. 45,000
Lingual – Rs. 1,25,000
Invisable Aligners – Rs. 1,20,000
Invisalign – Rs. 3,00,000
Inman Aligners – 70000 INR
Metal – Rs. 35,000
Ceramic – Rs. 45,000
Lingual – Rs. 1,25,000
Invisable Aligners – Rs. 1,20,000
Invisalign – Rs. 3,00,000
Inman Aligners – 70000 INR
Not necessarily… It depends on the position of your jaws and your expectation from the treatment. Your dentist will take a series of x rays to determine whether removal of teeth are a must.
Slight discomfort may be experienced for the first week with the brackets if present till the lips and teeth adjust around it.
Well, with the advancements in dentistry; that is a non-entity. One can opt for ceramic /clear brackets or even bracketless systems (consisting of only series of trays) such as Clearpath or Invisalign.

09594785337
ksheeban95@gmail.com
Timing : 9 AM to 9 PM
Main Branch
