Crowns & Bridges
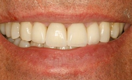
Crowns are used to replace missing teeth. They can be made from gold, metal, porcelain and white (Tooth) colored Zirconium. White crowns can greatly improve your confidence and smile.

Ceramic Fused to Metal Crowns
Porcelain-fused-to-metal dental crowns are the basic crowns with a metal backing which can be almost color matched to your adjacent teeth (unlike the metallic crowns). However, over a period of time; the ceramic overlaying may wear off or the metal underlying the crown’s porcelain can show through. In the gums it may show through as a dark line. They may be required to be upgraded or replaced after few years.

All Ceramic crowns
All-ceramic or all-porcelain dental crowns provide better natural color match than any other crown type and may be more suitable for people with metal allergies. All-ceramic crowns are a good choice for front teeth.


Zirconium crowns
Zirconium is the strongest all-ceramic coping material available today. Zirconium is ideal for those who are sensitive to metal or simply prefer the aesthetics of metal-free restorations. Its bio-compatibility has been proven through the years in the medical field.
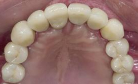
Zirconium crowns and bridges are so strong they can be used anywhere in the mouth. Zirconium crowns can withstand the biting pressure of the front teeth as well as back teeth grinding. The look of zirconium crowns and bridges is so close to natural teeth that it is hard to tell the difference and it is this quality which makes it very usable within dental work.
Zirconium crowns and bridges are so strong they can be used anywhere in the mouth. Zirconium crowns can withstand the biting pressure of the front teeth as well as back teeth grinding. The look of zirconium crowns and bridges is so close to natural teeth that it is hard to tell the difference and it is this quality which makes it very usable within dental work.


Procedure
It takes 3 appointments to restore the functionality of your teeth.
- In the 1st appointment your teeth will be slightly shaped where required and the new measurements of your teeth will be taken
- In the 2nd appointment a trial of your new crowns will be done, where the functionality and aesthetics of your new smile/ bite will be evaluated, and in case any modification is needed, it will be done in this stage
- In the 3rd appointment your new teeth will be fixed
Crown or bridge they follow the same procedure.
Time Taken
Whether it is a single crown or a full mouth bridge, they are usually completed within a week’s time.
Whether it is a single crown or a full mouth bridge, they are usually completed within a week’s time.
Treatment Charges
Metal based crown can vary from Rs4,000 to Rs7,000
Cad- Cam Crowns from Rs7,000 to Rs14,000
Metal free crowns from Rs10,000 to Rs14,000
Cad- Cam Crowns from Rs7,000 to Rs14,000
Metal free crowns from Rs10,000 to Rs14,000
FAQs
What are Crowns and Bridges?
When a tooth is malformed, badly decayed, cracked or broken it can be restored by means of crown. A crown is nothing but a fixed prosthetic device that will protect the teeth from further decay and will also provide strength to the remaining tooth structure to perform the daily function.
Bridges, on the other hand, are used to cover up the spaces created because of one or two missing teeth with the support of adjacent teeth. Both crowns and bridges provide aesthetics and functions.
Does Crown and Bridges make your teeth weaker?
Crowns and Bridges does not make your teeth weaker, in fact they strengthen by protecting them further decaying as well as other damages. Decayed teeth are brittle thus can be dangerous as they can chip off anytime. With crown around the teeth, it will make the teeth stronger.
Are dental crowns and bridges permanent or temporary?
Dental Crowns and Bridges are a permanent solution. They can last up-to 10 to 20 years also depending upon the quality of crown chosen. Lower quality crowns can also be upgraded over time. Maintaining good oral hygiene increases the longevity of the Dental Crowns and Bridges.
What are the different types of crown offered?
There are two types of CAD CAM crowns offered here at Dental Trust:
Zirconia is the recommended material as its metal free thus making it more biocompatible. Zirconia allows the growth of gums over it, making it look more natural. It also prevents the recession of the gums over a period of time, which is otherwise seen in the metal crowns.
Is maintenance of Dental Crown is easy?
Yes it is easy! Maintenance of Crowns and Bridges is no different from your everyday oral hygiene routine! Continue brushing, flossing or inter dental brushing and keep up with your regular check up with Dental Trust, apart from these, no other special maintenance is required.
Do Crowns and Bridges Stain?
No! They never stain. Crowns and bridges have a polished surface, making them resistant to staining. You can have any kind of food without having to worry about getting your teeth stained!
Is getting Crown and Bridges a painful procedure?
The procedure is absolutely pain free, once the numbness has taken its effect! After the Local Anaesthesia is administered, there will be numbness making the entire procedure pain free.
How many appointments are required for getting Crowns and Bridges fixed
It takes 3 appointments to restore the functionality of your teeth.
In the 1st appointment your teeth will be slightly trimmed, shaped and the new measurements of your teeth will be taken.
In the 2nd appointment a trial of your new smile will be done, where the functionality and aesthetics of your new smile will be evaluated, and in case any modification is needed, it will be done in this stage.
In the 3rd appointment your new teeth will be fixed!
When a tooth is malformed, badly decayed, cracked or broken it can be restored by means of crown. A crown is nothing but a fixed prosthetic device that will protect the teeth from further decay and will also provide strength to the remaining tooth structure to perform the daily function.
Bridges, on the other hand, are used to cover up the spaces created because of one or two missing teeth with the support of adjacent teeth. Both crowns and bridges provide aesthetics and functions.
Does Crown and Bridges make your teeth weaker?
Crowns and Bridges does not make your teeth weaker, in fact they strengthen by protecting them further decaying as well as other damages. Decayed teeth are brittle thus can be dangerous as they can chip off anytime. With crown around the teeth, it will make the teeth stronger.
Are dental crowns and bridges permanent or temporary?
Dental Crowns and Bridges are a permanent solution. They can last up-to 10 to 20 years also depending upon the quality of crown chosen. Lower quality crowns can also be upgraded over time. Maintaining good oral hygiene increases the longevity of the Dental Crowns and Bridges.
What are the different types of crown offered?
There are two types of CAD CAM crowns offered here at Dental Trust:
- Latest superior quality metal free crown that is Zirconia crown/ E-max crowns.
- Laser sintered crown which consists of an inner core made up of metal that is laser sintered on to the die to maintain minimal metal thickness and outer layer made up of tooth coloured ceramic.
Zirconia is the recommended material as its metal free thus making it more biocompatible. Zirconia allows the growth of gums over it, making it look more natural. It also prevents the recession of the gums over a period of time, which is otherwise seen in the metal crowns.
Is maintenance of Dental Crown is easy?
Yes it is easy! Maintenance of Crowns and Bridges is no different from your everyday oral hygiene routine! Continue brushing, flossing or inter dental brushing and keep up with your regular check up with Dental Trust, apart from these, no other special maintenance is required.
Do Crowns and Bridges Stain?
No! They never stain. Crowns and bridges have a polished surface, making them resistant to staining. You can have any kind of food without having to worry about getting your teeth stained!
Is getting Crown and Bridges a painful procedure?
The procedure is absolutely pain free, once the numbness has taken its effect! After the Local Anaesthesia is administered, there will be numbness making the entire procedure pain free.
How many appointments are required for getting Crowns and Bridges fixed
It takes 3 appointments to restore the functionality of your teeth.
In the 1st appointment your teeth will be slightly trimmed, shaped and the new measurements of your teeth will be taken.
In the 2nd appointment a trial of your new smile will be done, where the functionality and aesthetics of your new smile will be evaluated, and in case any modification is needed, it will be done in this stage.
In the 3rd appointment your new teeth will be fixed!

09594785337
ksheeban95@gmail.com
Timing : 9 AM to 9 PM
Main Branch
